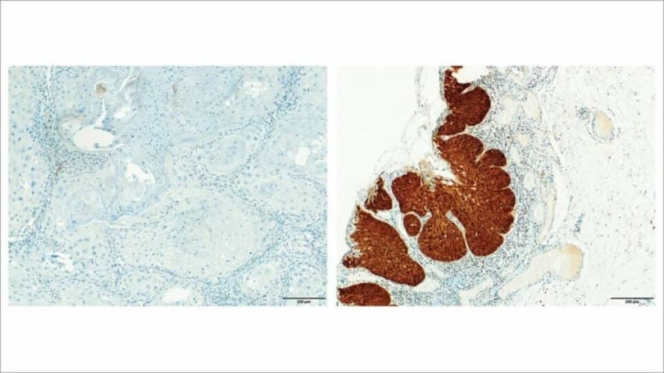
Ao longo de décadas, os cuidados com a saúde bucal foram primariamente focados na prevenção de cáries e doenças gengivais. Contudo, a ciência tem demonstrado a crescente relevância do microbioma oral – um conjunto de microrganismos que residem naturalmente na cavidade bucal. Pesquisas recentes têm evidenciado ligações entre desequilíbrios nesse ecossistema microbiano e o desenvolvimento de cânceres de cabeça e pescoço, além de associações cada vez mais robustas com o câncer colorretal.*Fusobacterium nucleatum*, uma bactéria frequentemente alvo de atenção da comunidade científica, é normalmente encontrada em baixas concentrações na microbiota bucal de indivíduos saudáveis. Contudo, sua proliferação excessiva tem sido associada a doenças inflamatórias (incluindo periodontite e outros problemas da cavidade oral) e, mais recentemente, ao aumento do risco de desenvolvimento de tumores malignos em outras regiões do organismo.A identificação da *F. nucleatum* em tumores despertou o interesse de pesquisadores do Hospital de Amor (anteriormente Hospital de Câncer de Barretos) há alguns anos, que conduziram estudos sobre o papel do microrganismo no câncer colorretal. Recentemente, com apoio da Fapesp e de outras agências de fomento, o grupo ampliou as investigações para compreender sua possível atuação nos tumores de cabeça e pescoço.Com informações da Agência Fapesp.
CONTINUA DEPOIS DA PUBLICIDADE
Fonte por: Poder 360
CONTINUA DEPOIS DA PUBLICIDADE
